Onda Coolwaves - công nghệ giảm béo đoạt giải Congres Anti-Aging & Beauty Trophy 2018-2019
Coolwaves giảm béo & tay cầm thông minh: Đảm bảo an toàn và hiệu quả
Để an toàn hơn nữa và cải thiện sự thoải mái của bệnh nhân. Các tay cầm được trang bị một hệ thống làm mát tích hợp hoạt động như một rào cản giữa nguồn năng lượng Coolwaves ™ và da. Điều này tạo ra một lớp nhiệt bảo vệ lớp biểu bì và lớp hạ bì. Cho phép năng lượng hoạt động được tập trung sâu dưới da nơi chứa các tế bào mỡ. Do đó, năng lượng Coolwaves ™ không tồn tại rủi ro gây ra các điểm nóng bỏng trên da như các điện cực được sử dụng trong các thiết bị dựa trên năng lượng RF.

A): Tay cầm thông minh Onda (được cấp bằng sáng chế)
Được thiết kế sao cho chỉ 20% năng lượng đi vào lớp hạ bì. Trong mọi trường hợp chúng đều được cân bằng nhờ hệ thống làm mát tích hợp giúp vô hiệu hóa các tác động của nhiệt. 80% năng lượng còn lại thâm nhập vào tổ chức mỡ. Hoạt động hiệu quả trên các tế bào mỡ.
(B): Tình trạng khá khác với tay cầm RF.
Đối với Coolwaves giảm béo, độ dẫn điện của lớp ngoài cùng của da cao hơn ít nhất 3,5 lần so với tần số của thiết bị phát xạ RF thường được sử dụng trong y tế thẩm mỹ (đồ thị C). Điều đó có nghĩa hầu hết năng lượng RF bị kẹt ở lớp biểu bì và lớp hạ bì, làm nóng chúng đến mức có nguy cơ gây tổn thương đến mô. Ngoài ra, khi năng lượng RF vẫn còn gần bề mặt, nó không chạm tới mô dưới da (hypodermis) nơi có các tế bào mỡ và màng tế bào mỡ phải được phá vỡ để điều trị có hiệu quả.

(A) Hình ảnh nhiệt của mô bên ngoài cơ thể sống (ex-vivo), được thấy trong ảnh, được điều trị bằng một tay cầm Onda. Một “khu vực nóng” có thể được nhìn thấy rõ ràng ngay bên dưới lớp trên cùng của da. Ở đây chúng được giữ lạnh và do đó được minh họa bằng màu xanh. Hình ảnh bên cạnh nó (B) tương ứng với một mô bên ngoài cơ thể sống (ex-vivo) tương tự được điều trị với tần số vô tuyến lưỡng cực (RF). Hiệu ứng đầu nhọn khi các điện cực và da tiếp xúc rõ ràng tạo ra sự gia tăng mạnh về nhiệt độ trên bề mặt. Trong khi mô sâu hơn vẫn còn lạnh. Điều đó chứng minh rằng nó không thể đạt được nhiệt độ điều trị chính xác ở mô mỡ dưới da.
Nghiên cứu mô học & lâm sàng
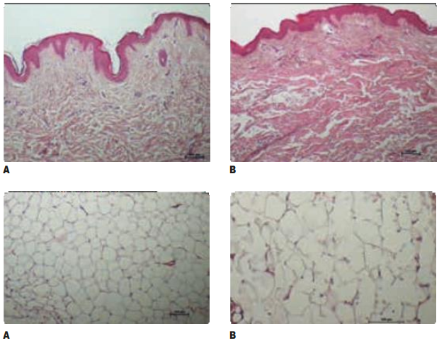
Hình ảnh mô học H&E của mô bụng con người. (A): Điều khiển. (B): Lấy mẫu từ cùng một bệnh nhân ngay sau khi điều trị bằng Onda CoolwavesTM. Khi chúng ta so sánh hai hình ảnh, rõ ràng lớp biểu bì trong mẫu được điều trị chưa trải qua bất kỳ thay đổi nào so với kiểm soát. Hơn nữa, trong hình ảnh (B), collagen trong lớp hạ bì trông nhiều bạch cầu ái toan (eosinophilia) (hồng): nhiệt khiến collagen co lại hoặc thắt chặt dẫn đến tăng bạch cầu. Do mật collagen cao hơn và luôn luôn kèm theo sự hiện diện của các không gian màu sắc rõ ràng hơn trong H&E, được giải phóng bởi collagen tổng hợp.

Hình ảnh mô học của mô với mỡ bụng của con người. (A): Điều khiển (phóng đại x10). (B): Lấy mẫu từ cùng một bệnh nhân ngay sau khi điều trị bằng Onda Coolwaves ™ (độ phóng đại x 20). Hình ảnh (B) cho thấy rõ ràng các tế bào tạo mỡ bị vỡ và tăng huyết áp ban đầu với sự giãn nở của các mạch máu.
Courtesy of Prof. R. Perrotta, M.D. and M.S. Tarico, M.D., Catania – Italy.
Phần mềm trực quan, đơn giản và thân thiện với người dùng
Giao diện người dùng đồ họa (GUI)
Giao diện màn hình cảm ứng đơn giản, trực quan mới giúp người vận hành chọn giao thức thích hợp nhất. Dựa trên các đặc tính cụ thể của từng bệnh nhân. Màn hình cảm ứng LCD lớn cung cấp lựa chọn nhanh chóng và dễ dàng các thông số vận hành.
quy trình vận hành rất đơn giản:
- Các tay cầm được hệ thống tự động nhận diện.
- Phần mềm đơn giản và cơ sở dữ liệu thích hợp cho phép lựa chọn nhanh các thông số cho bất kì loại điều trị và khu vực cơ thể nào.
- Một bộ tích lũy hiển thị được phân phối trong quá trình xử lý và tín hiệu âm thanh cảnh báo người dùng khi đạt đến điểm cuối mong muốn. Tại thời điểm này, nhà vận hành có thể xử lý một khu vực khác.

Cơ sở dữ liệu tích hợp: Các giao thức được điều chỉnh cụ thể
Để biết thêm thông tin chi tiết, vui lòng liên hệ:
Website: https://www.trungmy.com
Facebook fanpage: https://www.facebook.com/trungmylaser/
Zalo liên hệ: https://zalo.me/0904728696
Trụ sở chính: Số 91, Đường Nguyễn Chí Thanh,TP HN
Chi nhánh: Số 666/10, Đường 3/2, P14,Q10, TP HCM
Hotline: 0904.728 696
Tin cùng chuyên mục
-
Địa chỉ mua máy triệt lông chính hãng uy tín chất lượng
Máy triệt lông là thiết bị không thể thiếu trong các spa, thẩm...
Địa chỉ mua máy triệt lông chính hãng uy tín chất lượng
Máy triệt lông là thiết bị không thể thiếu trong các spa, thẩm mỹ viện và cả nhu cầu sử dụng cá nhân. Tuy nhiên, để đảm...
-
Công nghệ laser Erbium:YAG (Er:YAG) bước sóng 2.940nm MCL31 Dermablate
MCL31 Dermablate là một hệ thống laser Er:YAG tiên tiến, được sản xuất...
Công nghệ laser Erbium:YAG (Er:YAG) bước sóng 2.940nm MCL31 Dermablate
MCL31 Dermablate là một hệ thống laser Er:YAG tiên tiến, được sản xuất bởi công ty Asclepion Laser Technologies (Đức), chuyên dùng trong các quy trình điều...
-
Máy Plasma Lạnh Giải Pháp Đột Phá Cho Liền Vết Thương và Chăm Sóc Da
Bạn đang tìm kiếm một phương pháp làm lành vết thương nhanh chóng,...
Máy Plasma Lạnh Giải Pháp Đột Phá Cho Liền Vết Thương và Chăm Sóc Da
Bạn đang tìm kiếm một phương pháp làm lành vết thương nhanh chóng, an toàn và hiệu quả, đặc biệt là các vết thương khó lành hoặc...








































































VP Hà Nội: số 91 Nguyễn Chí Thanh, Đống Đa, Hà Nội
024.6682 4879
marketingpr@trungmy.com